歯列を全部をおもいのままにアノテーションするのが理想ですが、マンパワーもなく、外注する資金もないので、まずは見る部分を限定して確認しましょう。
今回のテーマは 上顎前歯の切縁のみ に絞ります。これを決めることが重要!
roboflowを使ったアノテーション手順
Step1: あつめる資料の基準を決める!
まずは、どんなデータを集めるかを決めましょう。
✅ 8パターンで考える!
- ① 普通に並んでいる歯 vs 叢生(ガタガタの歯列)の歯
- ② ブラケットあり vs なし
- ③ アプリの写真 vs 口腔内写真
- ④ 矮小歯や欠損歯も追加!
💡 最初の目標は20枚! いきなり100枚やると大変なので、小さく始めて成功体験を積みましょう!

Step2: アノテーションしていくぞ!
📌 アノテーションの手順
1 どのプロジェクトを選択するのか
今回はinstance segmentationを!

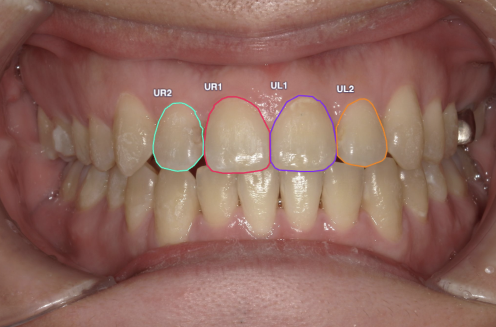
2 どの歯をラベリングすのか?
今回は、上顎両側2から2の切縁の高さを見ることが目的なので、その部分だけラベリングを行う!
- 「UR1」「UR2」などのラベルを統一する
- 命名ルールを決めることで、後で混乱を防げる

Step3: データセット作成
📂 データ整理のポイント
- アノテーションしたデータを整理する
- フォーマットは統一する(JPEG, PNG など)
- roboflow にアップロード! データセットを作成する

Step4: データ拡張(オプション)
💰 ちょっと課金すると便利!
- roboflowで 65ドル 課金すると、ぼやけた画像や微妙な角度の画像も処理可能!
- ぼやけた画像もデータに入れると、精度が向上する可能性あり!



Step5: ZIPファイルに保管!
📁 データの保存方法
- データを圧縮して、管理しやすくする
- クラウドや外部ストレージに保存すると便利!
まとめ
🚀 この手順なら誰でもできる!
- 初心者でもスムーズにアノテーションできる方法!
- いきなり100枚ではなく、まずは20枚で試す!
- アノテーションを効率化して、AI開発を進めよう!
これで アノテーション完了!! 🎉
今後の課題
切縁をどうするのか?判定基準はどうなるのかが楽しみ。



コメント